BackgroundMost upstream protease of the activation cascade of caspases responsible for the TNFRSF6/FAS mediated and TNFRSF1A induced cell death. Binding to the adapter molecule FADD recruits it to either receptor. The resulting aggregate called death-inducing signaling complex (DISC) performs CASP8 proteolytic activation. The active dimeric enzyme is then liberated from the DISC and free to activate downstream apoptotic proteases. Proteolytic fragments of the N-terminal propeptide (termed CAP3, CAP5 and CAP6) are likely retained in the DISC. Cleaves and activates CASP3, CASP4, CASP6, CASP7, CASP9 and CASP10. May participate in the GZMB apoptotic pathways. Cleaves ADPRT. Hydrolyzes the small-molecule substrate, Ac-Asp-Glu-Val-Asp-|-AMC. Likely target for the cowpox virus CRMA death inhibitory protein. Isoform 5, isoform 6, isoform 7 and isoform 8 lack the catalytic site and may interfere with the pro-apoptotic activity of the complex.
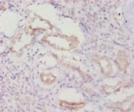
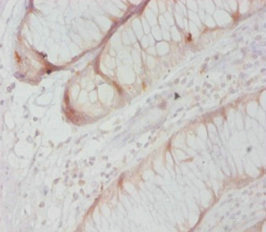
DescriptionCASP8 Polyclonal Antibody. Unconjugated. Raised in: Rabbit.
Formulation0.03% Proclin 300, 50% Glycerol, 0.01M PBS, PH 7.4
SpecificityHuman
IsotypeIgG
Uniprot IDQ14790
PurificationProtein G purified
ImmunogenRecombinant Human Caspase-8 protein (217-374AA)
StorageShipped at 4°C. Upon delivery aliquot and store at -20°C (short-term) or -80°C (long-term). Avoid repeated freeze.
Alternative NamesApoptotic cysteine protease, Apoptotic protease Mch-5, CAP4, FADD-homologous ICE/ced-3-like protease, FADD-like ICE, CASP8, MCH5
ApplicationELISA, WB, IHC, IF; Recommended dilution: WB:1:500-1:2000, IHC:1:10-1:100, IF:1:50-1:200