BackgroundThis gene encodes the basic transcription factor 3. This protein forms a stable complex with RNA polymerase IIB and is required for transcriptional initiation. Alternative splicing results in multiple transcript variants encoding different isoforms. This gene has multiple pseudogenes.
DescriptionBTF3 Polyclonal Antibody. Unconjugated. Raised in: Rabbit.
FormulationBuffer: PBS with 0.02% sodium azide, 50% glycerol, pH7.3.
SpecificityHuman, Mouse, Rat
IsotypeIgG
Uniprot IDP20290
PurificationAffinity Purification
ImmunogenA synthetic peptide corresponding to a sequence within amino acids 50-150 of human BTF3 (NP_001198.2).
StorageShipped at 4°C. Upon receipt, store at -20°C. Avoid freeze / thaw cycles
Alternative NamesBTF3; BETA-NAC; BTF3a; BTF3b; NACB; transcription factor BTF3
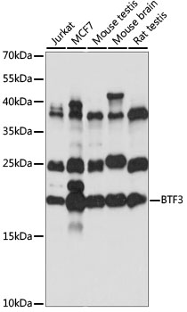
ApplicationWB; Recommended dilution: WB 1:200 - 1:2000