BackgroundThe protein encoded by this gene functions to recycle protein-bound biotin by cleaving biocytin (biotin-epsilon-lysine), a normal product of carboxylase degradation, resulting in regeneration of free biotin. The encoded protein has also been shown to have biotinyl transferase activity. Mutations in this gene are associated with biotinidase deficiency. Multiple transcript variants encoding different isoforms have been described.
DescriptionBTD Polyclonal Antibody. Unconjugated. Raised in: Rabbit.
FormulationBuffer: PBS with 0.02% sodium azide, 50% glycerol, pH7.3.
SpecificityHuman, Mouse, Rat
IsotypeIgG
Uniprot IDP43251
PurificationAffinity Purification
ImmunogenRecombinant fusion protein containing a sequence corresponding to amino acids 284-543 of human BTD (NP_000051.1).
StorageShipped at 4°C. Upon receipt, store at -20°C. Avoid freeze / thaw cycles
Alternative NamesBTD; biotinidase
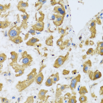
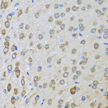
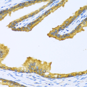
ApplicationWB, IHC; Recommended dilution: WB 1:500 - 1:2000, IHC 1:100 - 1:200