BackgroundThis gene encodes a member of the aquaporin family of intrinsic membrane proteins that function as water-selective channels in the plasma membranes of many cells. This protein is the predominant aquaporin found in brain and has an important role in brain water homeostasis. Alternatively spliced transcript variants encoding different isoforms have been described for this gene. A recent study provided evidence for translational readthrough in this gene and expression of an additional C-terminally extended isoform via the use of an alternative in-frame translation termination codon.
DescriptionAquaporin 4 Polyclonal Antibody. Unconjugated. Raised in: Rabbit.
FormulationBuffer: PBS with 0.02% sodium azide, 50% glycerol, pH7.3.
SpecificityHuman, Mouse, Rat
IsotypeIgG
Uniprot IDP55087
PurificationAffinity Purification
ImmunogenRecombinant fusion protein containing a sequence corresponding to amino acids 256-323 of human Aquaporin-4 (AQP4) (NP_001641.1)
StorageShipped at 4°C. Upon receipt, store at -20°C. Avoid freeze / thaw cycles
Alternative NamesAQP4; MIWC; WCH4; aquaporin-4
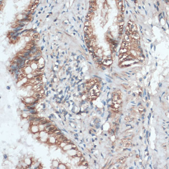
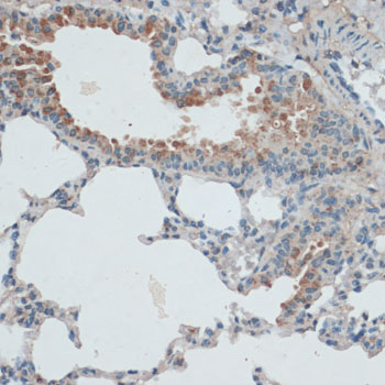
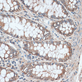
ApplicationWB, IHC, IF; Recommended dilution: WB 1:500 - 1:2000, IHC 1:50 - 1:200, IF 1:50 - 1:200