BackgroundThis enzyme catalyzes the hydrolysis of the N-terminal peptide bond of an N-acetylated peptide to generate an N-acetylated amino acid and a peptide with a free N-terminus. It preferentially cleaves off Ac-Ala, Ac-Met and Ac-Ser.
DescriptionAPEH Polyclonal Antibody. Unconjugated. Raised in: Rabbit.
FormulationLiquid. 0.03% Proclin 300. 50% Glycerol, 0.01M PBS, pH 7.4.
SpecificityHuman
IsotypeIgG
Uniprot IDP13798
PurificationProtein G purified
ImmunogenRecombinant Human Acylamino-acid-releasing enzyme protein (201-500AA)
StorageShipped at 4°C. Upon delivery aliquot and store at -20°C (short-term) or -80°C (long-term). Avoid repeated freeze.
Alternative NamesAcylamino-acid-releasing enzyme, AARE, Acyl-peptide hydrolase, APH, Acylaminoacyl-peptidase, Oxidized protein hydrolase, OPH, APEH, D3F15S2, D3S48E, DNF15S2
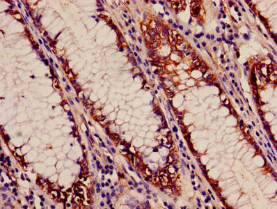
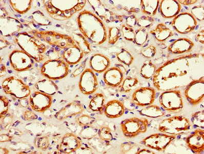
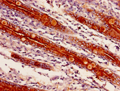
ApplicationELISA, WB, IHC, IF; Recommended dilution: WB:1:2000-1:5000, IHC:1:20-1:200, IF:1:50-1:200