BackgroundThe product of this gene phosphorylates the beta-2-adrenergic receptor and appears to mediate agonist-specific desensitization observed at high agonist concentrations. This protein is an ubiquitous cytosolic enzyme that specifically phosphorylates the activated form of the beta-adrenergic and related G-protein-coupled receptors. Abnormal coupling of beta-adrenergic receptor to G protein is involved in the pathogenesis of the failing heart.
DescriptionADRBK1 Polyclonal Antibody. Unconjugated. Raised in: Rabbit.
FormulationBuffer: PBS with 0.02% sodium azide, 50% glycerol, pH7.3.
SpecificityHuman, Mouse, Rat
IsotypeIgG
Uniprot IDP25098
PurificationAffinity Purification
ImmunogenRecombinant fusion protein containing a sequence corresponding to amino acids 440-689 of human ADRBK1 (NP_001610.2).
StorageShipped at 4°C. Upon receipt, store at -20°C. Avoid freeze / thaw cycles
Alternative NamesGRK2; ADRBK1; BARK1; BETA-ARK1; beta-adrenergic receptor kinase 1
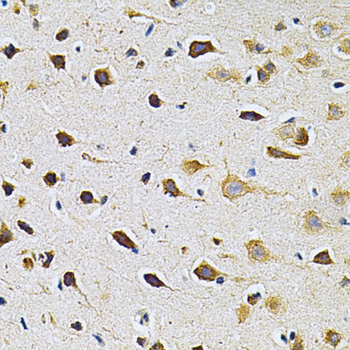
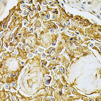
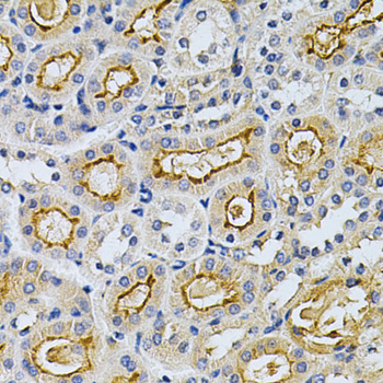
ApplicationWB, IHC; Recommended dilution: WB 1:500 - 1:2000, IHC 1:50 - 1:200