DescriptionVTI1B Polyclonal Antibody. Unconjugated. Raised in: Rabbit.
FormulationBuffer: PBS with 0.02% sodium azide, 50% glycerol, pH7.3.
SpecificityHuman, Mouse
IsotypeIgG
Uniprot IDQ9UEU0
PurificationAffinity Purified
ImmunogenRecombinant fusion protein containing a sequence corresponding to amino acids 1-210 of human VTI1B (NP_006361.1).
StorageShipped at 4°C. Upon receipt, store at -20°C. Avoid freeze / thaw cycles
Alternative NamesVTI1B; VTI1; VTI1-LIKE; VTI1L; VTI2; v-SNARE; vti1-rp1; vesicle transport through interaction with t-SNAREs 1B
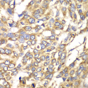
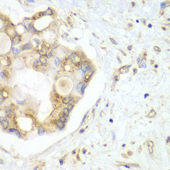
ApplicationWB, IHC