BackgroundUbiquitin-conjugating enzyme E2 variant proteins constitute a distinct subfamily within the E2 protein family. They have sequence similarity to other ubiquitin-conjugating enzymes but lack the conserved cysteine residue that is critical for the catalytic activity of E2s. The protein encoded by this gene also shares homology with ubiquitin-conjugating enzyme E2 variant 1 and yeast MMS2 gene product. It may be involved in the differentiation of monocytes and enterocytes.
DescriptionUBE2V2 Polyclonal Antibody. Unconjugated. Raised in: Rabbit.
FormulationBuffer: PBS with 0.02% sodium azide, 50% glycerol, pH7.3.
SpecificityHuman, Mouse, Rat
IsotypeIgG
Uniprot IDQ15819
PurificationAffinity Purification
ImmunogenRecombinant fusion protein containing a sequence corresponding to amino acids 1-145 of human UBE2V2 (NP_003341.1).
StorageShipped at 4°C. Upon receipt, store at -20°C. Avoid freeze / thaw cycles
Alternative NamesUBE2V2; DDVIT1; DDVit-1; EDAF-1; EDPF-1; EDPF1; MMS2; UEV-2; UEV2; ubiquitin conjugating enzyme E2 V2
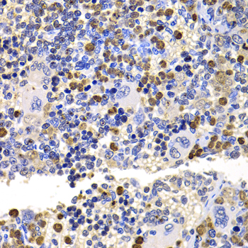
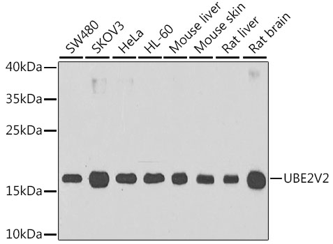
ApplicationWB, IHC; Recommended dilution: WB 1:500 - 1:2000, IHC 1:50 - 1:200