BackgroundThe protein encoded by this gene acts as a homodimer and is involved in many redox reactions. The encoded protein is active in the reversible S-nitrosylation of cysteines in certain proteins, which is part of the response to intracellular nitric oxide. This protein is found in the cytoplasm. Two transcript variants encoding different isoforms have been found for this gene.
DescriptionTXN Polyclonal Antibody. Unconjugated. Raised in: Rabbit.
FormulationBuffer: PBS with 0.02% sodium azide, 50% glycerol, pH7.3.
SpecificityHuman, Mouse
IsotypeIgG
Uniprot IDP10599
PurificationAffinity Purification
ImmunogenA synthetic peptide corresponding to a sequence within amino acids 20 to the C-terminus of human TXN (NP_003320.2).
StorageShipped at 4°C. Upon receipt, store at -20°C. Avoid freeze / thaw cycles
Alternative NamesTXN; TRDX; TRX; TRX1; thioredoxin
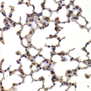
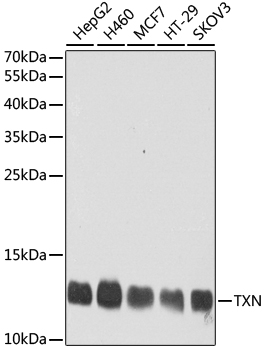
ApplicationWB, IHC, IF, IP; Recommended dilution: WB: 1:500-1:2000, IHC: 1:50-1:200, IF:1:50-1:200, IP:1:20-1:50