BackgroundThis gene encodes a beta tubulin protein. This protein forms a dimer with alpha tubulin and acts as a structural component of microtubules. Mutations in this gene cause cortical dysplasia, complex, with other brain malformations 6. Alternative splicing results in multiple splice variants. There are multiple pseudogenes for this gene on chromosomes 1, 6, 7, 8, 9, and 13.
Descriptionβ-Tubulin Polyclonal Antibody. Unconjugated. Raised in: Rabbit.
FormulationBuffer: PBS with 0.09% sodium azide, 50% glycerol, pH7.3.
SpecificityHuman, Mouse, Rat
IsotypeIgG
Uniprot IDP07437
PurificationAffinity Purification
ImmunogenRecombinant fusion protein containing a sequence corresponding to amino acids 40-260 of human β-Tubulin (NP_006077.2).
StorageShipped at 4°C. Upon receipt, store at -20°C. Avoid freeze / thaw cycles
Alternative NamesTUBB; CDCBM6; CSCSC1; M40; OK/SW-cl.56; TUBB1; TUBB5; tubulin beta chain
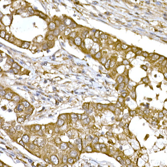
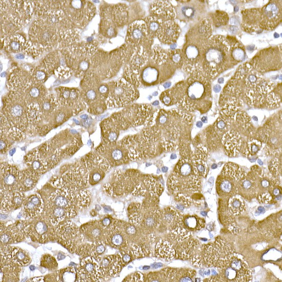
ApplicationWB, IHC, IF; Recommended dilution: WB: 1:2000-10000, IHC: 1:50-1:200, IF: 1:50-1:200