BackgroundThis gene encodes an epidermal growth factor-related protein that contains a cripto, FRL-1, and cryptic domain. The encoded protein is an extracellular, membrane-bound signaling protein that plays an essential role in embryonic development and tumor growth. Mutations in this gene are associated with forebrain defects. Pseudogenes of this gene are found on chromosomes 2, 3, 6, 8, 19 and X. Alternate splicing results in multiple transcript variants.
DescriptionTDGF1 Polyclonal Antibody. Unconjugated. Raised in: Rabbit.
FormulationBuffer: PBS with 0.02% sodium azide, 50% glycerol, pH7.3.
SpecificityHuman, Mouse, Rat
IsotypeIgG
Uniprot IDP13385
PurificationAffinity Purification
ImmunogenRecombinant fusion protein containing a sequence corresponding to amino acids 1-188 of human TDGF1 (NP_003203.1).
StorageShipped at 4°C. Upon receipt, store at -20°C. Avoid freeze / thaw cycles
Alternative NamesTDGF1; CR; CRGF; CRIPTO; teratocarcinoma-derived growth factor 1
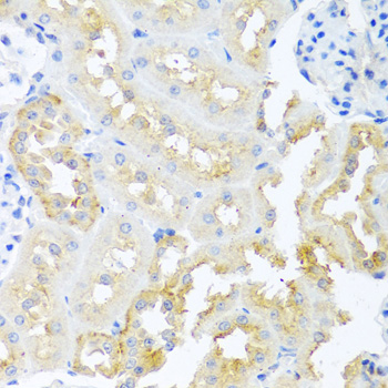
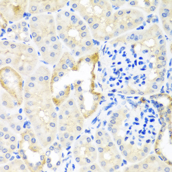
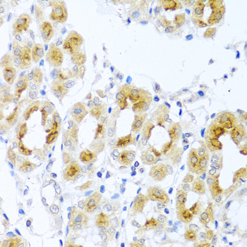
ApplicationWB, IHC; Recommended dilution: WB 1:500 - 1:2000, IHC 1:50 - 1:200