BackgroundThe protein encoded by this gene is a type II membrane protein that catalyzes the transfer of sialic acid from CMP-sialic acid to galactose-containing substrates. The encoded protein is normally found in the Golgi apparatus but can be proteolytically processed to a soluble form. This protein is a member of glycosyltransferase family 29. Mutations in this gene have been associated with autosomal recessive nonsymdromic mental retardation-12 (MRT12). Multiple transcript variants encoding several different isoforms have been found for this gene.
DescriptionST3GAL3 Polyclonal Antibody. Unconjugated. Raised in: Rabbit.
FormulationBuffer: PBS with 0.02% sodium azide, 50% glycerol, pH7.3.
SpecificityHuman, Mouse, Rat
IsotypeIgG
Uniprot IDQ11203
PurificationAffinity Purification
ImmunogenRecombinant fusion protein containing a sequence corresponding to amino acids 30-375 of human ST3GAL3 (NP_006270.1).
StorageShipped at 4°C. Upon receipt, store at -20°C. Avoid freeze / thaw cycles
Alternative NamesST3GAL3; EIEE15; MRT12; SIAT6; ST3GALII; ST3GalIII; ST3N; ST3 beta-galactoside alpha-2,3-sialyltransferase 3
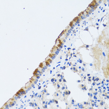
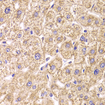
ApplicationWB, IHC, IF; Recommended dilution: WB 1:500 - 1:2000, IHC 1:50 - 1:200, IF 1:50 - 1:200