BackgroundThe protein encoded by this gene belongs to the small nuclear ribonucleoprotein core protein family. It is required for pre-mRNA splicing and small nuclear ribonucleoprotein biogenesis. Multiple transcript variants encoding different isoforms have been found for this gene.
DescriptionSNRPD2 Polyclonal Antibody. Unconjugated. Raised in: Rabbit.
FormulationBuffer: PBS with 0.02% sodium azide, 50% glycerol, pH7.3.
SpecificityHuman, Mouse, Rat
IsotypeIgG
Uniprot IDP62316
PurificationAffinity Purification
ImmunogenRecombinant fusion protein containing a sequence corresponding to amino acids 1-118 of human SNRPD2 (NP_004588.1).
StorageShipped at 4°C. Upon receipt, store at -20°C. Avoid freeze / thaw cycles
Alternative NamesSNRPD2; SMD2; SNRPD1; Sm-D2; small nuclear ribonucleoprotein Sm D2
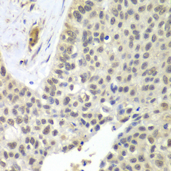
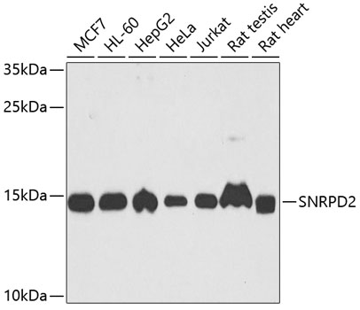
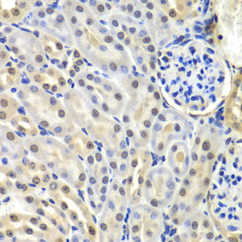
ApplicationWB, IHC