BackgroundThis gene encodes a member of the F-box protein family which is characterized by an approximately 40 amino acid motif, the F-box. The F-box proteins constitute one of the four subunits of ubiquitin protein ligase complex called SCFs (SKP1-cullin-F-box), which function in phosphorylation-dependent ubiquitination. The F-box proteins are divided into 3 classes: Fbws containing WD-40 domains, Fbls containing leucine-rich repeats, and Fbxs containing either different protein-protein interaction modules or no recognizable motifs. The protein encoded by this gene belongs to the Fbls class; in addition to an F-box, this protein contains 10 tandem leucine-rich repeats. This protein is an essential element of the cyclin A-CDK2 S-phase kinase. It specifically recognizes phosphorylated cyclin-dependent kinase inhibitor 1B (CDKN1B, also referred to as p27 or KIP1) predominantly in S phase and interacts with S-phase kinase-associated protein 1 (SKP1 or p19). In addition, this gene is established as a protooncogene causally involved in the pathogenesis of lymphomas. Alternative splicing of this gene generates three transcript variants encoding different isoforms.
DescriptionSKP2 Polyclonal Antibody. Unconjugated. Raised in: Rabbit.
FormulationBuffer: PBS with 0.02% sodium azide, 50% glycerol, pH7.3.
SpecificityHuman, Mouse, Rat
IsotypeIgG
Uniprot IDQ13309
PurificationAffinity Purification
ImmunogenA synthetic peptide corresponding to a sequence within amino acids 1-100 of human SKP2 (NP_005974.2).
StorageShipped at 4°C. Upon receipt, store at -20°C. Avoid freeze / thaw cycles
Alternative NamesSKP2; FBL1; FBXL1; FLB1; p45; S-phase kinase-associated protein 2
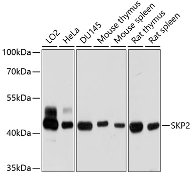
ApplicationWB, IF; Recommended dilution: WB: 1:500-1:2000, IF:1:50-1:200