BackgroundThis gene encodes the large and catalytic subunit of ribonucleotide reductase, an enzyme essential for the conversion of ribonucleotides into deoxyribonucleotides. A pool of available deoxyribonucleotides is important for DNA replication during S phase of the cell cycle as well as multiple DNA repair processes. Alternative splicing results in multiple transcript variants.
DescriptionRRM1 Polyclonal Antibody. Unconjugated. Raised in: Rabbit.
FormulationBuffer: PBS with 0.02% sodium azide, 50% glycerol, pH7.3.
SpecificityHuman, Mouse, Rat
IsotypeIgG
Uniprot IDP23921
PurificationAffinity Purification
ImmunogenRecombinant fusion protein containing a sequence corresponding to amino acids 593-792 of human RRM1 (NP_001024.1).
StorageShipped at 4°C. Upon receipt, store at -20°C. Avoid freeze / thaw cycles
Alternative NamesRRM1; R1; RIR1; RR1; ribonucleotide reductase catalytic subunit M1
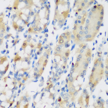
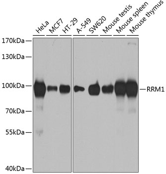
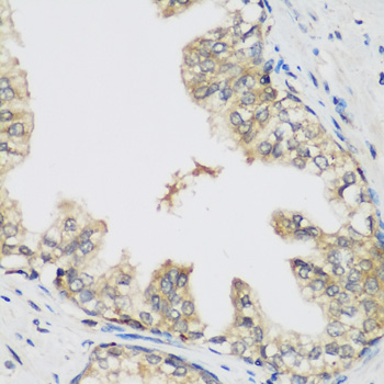
ApplicationWB, IHC, IF, IP; Recommended dilution: WB: 1:500-1:2000, IHC: 1:50-1:200, IF:1:50-1:200, IP:1:50-1:200