BackgroundRibosomes, the organelles that catalyze protein synthesis, consist of a small 40S subunit and a large 60S subunit. Together these subunits are composed of 4 RNA species and approximately 80 structurally distinct proteins. This gene encodes a ribosomal protein that is a component of the 40S subunit. The protein belongs to the S10E family of ribosomal proteins. It is located in the cytoplasm. Variable expression of this gene in colorectal cancers compared to adjacent normal tissues has been observed, although no correlation between the level of expression and the severity of the disease has been found. As is typical for genes encoding ribosomal proteins, there are multiple processed pseudogenes of this gene dispersed through the genome. Alternate splicing results in multiple transcript variants that encode the same protein. Naturally occurring read-through transcription occurs between this locus and the neighboring locus NUDT3 (nudix (nucleoside diphosphate linked moiety X)-type motif 3).
DescriptionRPS10 Polyclonal Antibody. Unconjugated. Raised in: Rabbit.
FormulationBuffer: PBS with 0.02% sodium azide, 50% glycerol, pH7.3.
SpecificityHuman, Mouse, Rat
IsotypeIgG
Uniprot IDP46783
PurificationAffinity Purification
ImmunogenRecombinant fusion protein containing a sequence corresponding to amino acids 1-165 of human RPS10 (NP_001190174.1).
StorageShipped at 4°C. Upon receipt, store at -20°C. Avoid freeze / thaw cycles
Alternative NamesRPS10; DBA9; S10; ribosomal protein S10
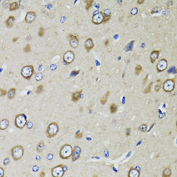
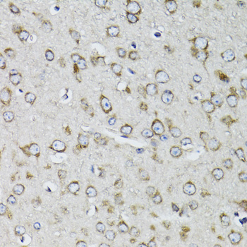
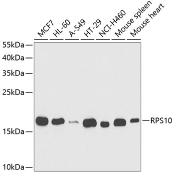
ApplicationWB, IHC, IF, IP; Recommended dilution: WB 1:500 - 1:2000, IHC 1:50 - 1:200, IF 1:20 - 1:50, IP 1:20 - 1:50