BackgroundThe 26S proteasome is a multicatalytic proteinase complex with a highly ordered structure composed of 2 complexes, a 20S core and a 19S regulator. The 20S core is composed of 4 rings of 28 non-identical subunits; 2 rings are composed of 7 alpha subunits and 2 rings are composed of 7 beta subunits. Proteasomes are distributed throughout eukaryotic cells at a high concentration and cleave peptides in an ATP/ubiquitin-dependent process in a non-lysosomal pathway. This gene encodes a member of the peptidase T1A family that functions as a 20S core alpha subunit. The encoded protein interacts with the hepatitis B virus X protein and plays a role in regulating hepatitis C virus internal ribosome entry site (IRES) activity, an activity essential for viral replication. The encoded protein also plays a role in the cellular stress response by regulating hypoxia-inducible factor-1alpha. A pseudogene of this gene is located on the long arm of chromosome 9.
DescriptionPSMA7 Polyclonal Antibody. Unconjugated. Raised in: Rabbit.
FormulationBuffer: PBS with 0.02% sodium azide, 50% glycerol, pH7.3.
SpecificityHuman, Mouse, Rat
IsotypeIgG
Uniprot IDO14818
PurificationAffinity Purification
ImmunogenRecombinant fusion protein containing a sequence corresponding to amino acids 1-248 of human PSMA7 (NP_002783.1).
StorageShipped at 4°C. Upon receipt, store at -20°C. Avoid freeze / thaw cycles
Alternative NamesPSMA7; C6; HEL-S-276; HSPC; RC6-1; XAPC7; proteasome subunit alpha 7
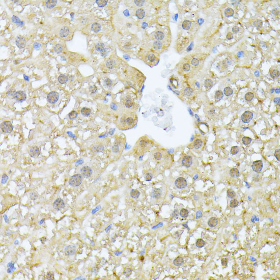
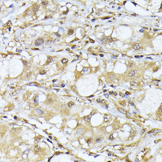
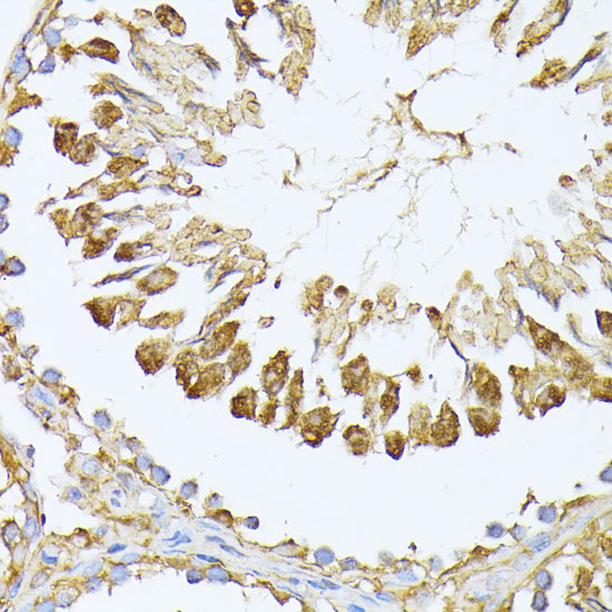
ApplicationWB, IHC, IF; Recommended dilution: WB 1:500 - 1:2000, IHC 1:50 - 1:100, IF 1:50 - 1:100