BackgroundThe protein encoded by this gene is a receptor for activated protein C, a serine protease activated by and involved in the blood coagulation pathway. The encoded protein is an N-glycosylated type I membrane protein that enhances the activation of protein C. Mutations in this gene have been associated with venous thromboembolism and myocardial infarction, as well as with late fetal loss during pregnancy. The encoded protein may also play a role in malarial infection and has been associated with cancer.
DescriptionPROCR Polyclonal Antibody. Unconjugated. Raised in: Rabbit.
FormulationBuffer: PBS with 0.02% sodium azide, 50% glycerol, pH7.3.
SpecificityHuman, Mouse, Rat
IsotypeIgG
Uniprot IDQ9UNN8
PurificationAffinity Purification
ImmunogenRecombinant fusion protein containing a sequence corresponding to amino acids 19-209 of human PROCR (NP_006395.2).
StorageShipped at 4°C. Upon receipt, store at -20°C. Avoid freeze / thaw cycles
Alternative NamesPROCR; CCCA; CCD41; EPCR; protein C receptor
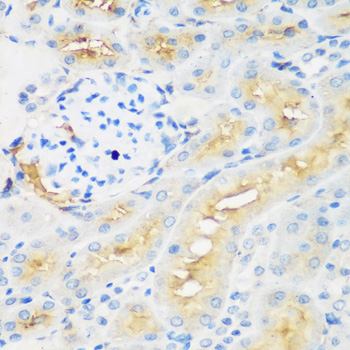
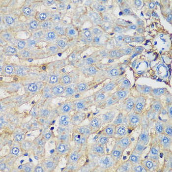
ApplicationWB, IHC; Recommended dilution: WB 1:500 - 1:2000, IHC 1:50 - 1:200