BackgroundThis gene encodes a secreted serine protease that converts plasminogen to plasmin. The encoded preproprotein is proteolytically processed to generate A and B polypeptide chains. These chains associate via a single disulfide bond to form the catalytically inactive high molecular weight urokinase-type plasminogen activator (HMW-uPA). HMW-uPA can be further processed into the catalytically active low molecular weight urokinase-type plasminogen activator (LMW-uPA). This low molecular weight form does not bind to the urokinase-type plasminogen activator receptor. Mutations in this gene may be associated with Quebec platelet disorder and late-onset Alzheimer's disease. Alternative splicing results in multiple transcript variants, at least one of which encodes an isoform that is proteolytically processed.
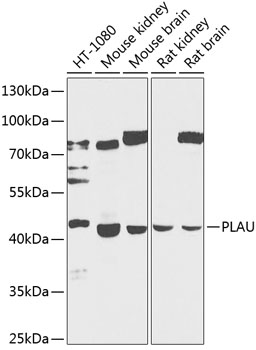
DescriptionPLAU Polyclonal Antibody. Unconjugated. Raised in: Rabbit.
FormulationBuffer: PBS with 0.02% sodium azide, 50% glycerol, pH7.3.
SpecificityHuman, Mouse, Rat
IsotypeIgG
Uniprot IDP00749
PurificationAffinity Purification
ImmunogenRecombinant fusion protein containing a sequence corresponding to amino acids 20-180 of human PLAU (NP_002649.1).
StorageShipped at 4°C. Upon receipt, store at -20°C. Avoid freeze / thaw cycles
Alternative NamesPLAU; ATF; BDPLT5; QPD; UPA; URK; u-PA; plasminogen activator, urokinase
ApplicationWB; Recommended dilution: WB 1:500 - 1:2000