BackgroundPA2 catalyzes the calcium-dependent hydrolysis of the 2-acyl groups in 3-sn-phosphoglycerides. L-alpha-1-palmitoyl-2-linoleoyl phosphatidylethanolamine is more efficiently hydrolyzed than the other phospholipids examined.
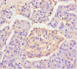
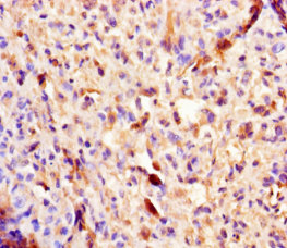
DescriptionPLA2G2D Polyclonal Antibody. Unconjugated. Raised in: Rabbit.
FormulationLiquid. 0.03% Proclin 300, 50% Glycerol, 0.01M PBS, PH 7.4.
SpecificityHuman
IsotypeIgG
Uniprot IDQ9UNK4
Purification>95%, Protein G purified
ImmunogenRecombinant Human Group IID secretory phospholipase A2 protein (22-145AA)
StorageShipped at 4°C. Upon delivery aliquot and store at -20°C (short-term) or -80°C (long-term). Avoid repeated freeze.
Alternative NamesGIID sPLA2, sPLA2-IID, PLA2IID, Phosphatidylcholine 2-acylhydrolase 2D, Secretory-type PLA, stroma-associated homolog
ApplicationELISA, IHC; Recommended dilution: IHC:1:20-1:200