BackgroundThis gene encodes a member of the small leucine-rich proteoglycan (SLRP) family of proteins. The encoded protein induces ectopic bone formation in conjunction with transforming growth factor beta and may regulate osteoblast differentiation. High expression of the encoded protein may be associated with elevated heart left ventricular mass. Alternative splicing results in multiple transcript variants.
DescriptionOGN Polyclonal Antibody. Unconjugated. Raised in: Rabbit.
FormulationBuffer: PBS with 0.02% sodium azide, 50% glycerol, pH7.3.
SpecificityHuman, Mouse, Rat
IsotypeIgG
Uniprot IDP20774
PurificationAffinity Purification
ImmunogenRecombinant fusion protein containing a sequence corresponding to amino acids 20-298 of human OGN (NP_148935.1).
StorageShipped at 4°C. Upon receipt, store at -20°C. Avoid freeze / thaw cycles
Alternative NamesOGN; OG; OIF; SLRR3A; mimecan
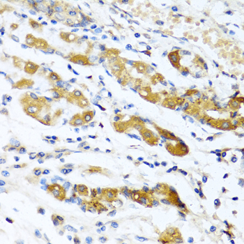
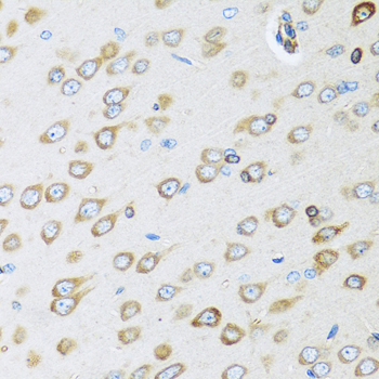
ApplicationWB, IHC, IF; Recommended dilution: WB 1:500 - 1:2000, IHC 1:100 - 1:200, IF 1:50 - 1:200