BackgroundThe protein encoded by this gene binds to the N-terminus of the oncogenic protein C-MYC, enhancing the ability of C-MYC to activate E box-dependent transcription. The encoded protein is normally found in the cytoplasm, but it translocates to the nucleus during S phase of the cell cycle and associates with C-MYC. This protein may be involved in spermatogenesis. This gene can be silenced by microRNA-22. Two transcript variants, one protein-coding and the other probably not protein-coding, have been found for this gene.
DescriptionMYCBP Polyclonal Antibody. Unconjugated. Raised in: Rabbit.
FormulationBuffer: PBS with 0.02% sodium azide, 50% glycerol, pH7.3.
SpecificityHuman
IsotypeIgG
Uniprot IDQ99417
PurificationAffinity Purification
ImmunogenRecombinant fusion protein containing a sequence corresponding to amino acids 1-103 of human MYCBP (NP_036465.2).
StorageShipped at 4°C. Upon receipt, store at -20°C. Avoid freeze / thaw cycles
Alternative NamesMYCBP; AMY-1; MYC binding protein
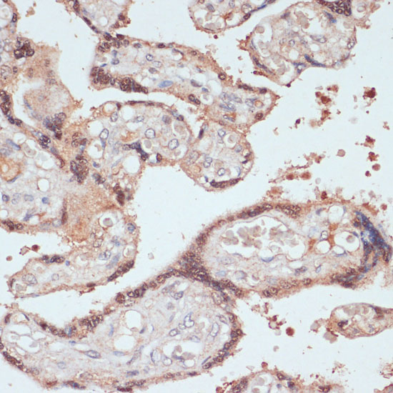
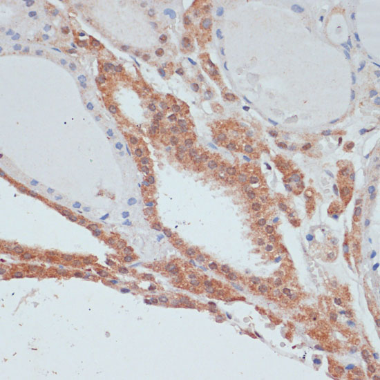
ApplicationWB, IHC; Recommended dilution: WB 1:500 - 1:2000, IHC 1:100 - 1:200