BackgroundThis gene encodes a member of the mucin protein family. Mucins are high molecular weight glycoproteins secreted by many epithelial tissues to form an insoluble mucous barrier. The C-terminus of this family member associates with the multifunctional docking site of the MET proto-oncogene and suppresses activation of some downstream MET signaling cascades. The protein features a mucin tandem repeat domain that varies between two and six copies in most individuals. Multiple variants encoding different isoforms have been found for this gene. A related pseudogene, which is also located on chromosome 3, has been identified.
DescriptionMUC20 Polyclonal Antibody. Unconjugated. Raised in: Rabbit.
FormulationBuffer: PBS with 0.02% sodium azide, 50% glycerol, pH7.3.
SpecificityHuman, Mouse, Rat
IsotypeIgG
Uniprot IDQ8N307
PurificationAffinity Purification
ImmunogenA synthetic peptide corresponding to a sequence within amino acids 100-200 of human MUC20 (NP_689886.3).
StorageShipped at 4°C. Upon receipt, store at -20°C. Avoid freeze / thaw cycles
Alternative NamesMUC20; MUC-20; mucin-20
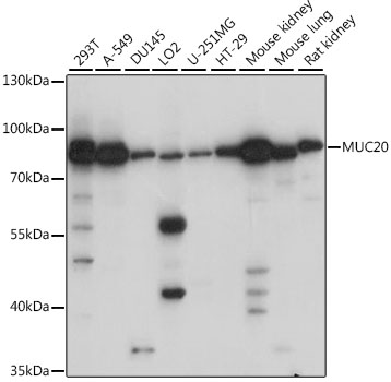
ApplicationWB; Recommended dilution: WB 1:500 - 1:2000