BackgroundMajor intrinsic protein is a member of the water-transporting aquaporins as well as the original member of the MIP family of channel proteins. The function of the fiber cell membrane protein encoded by this gene is undetermined, yet this protein is speculated to play a role in intracellular communication. The MIP protein is expressed in the ocular lens and is required for correct lens function. This gene has been mapped among aquaporins AQP2, AQP5, and AQP6, in a potential gene cluster at 12q13.
DescriptionMIP Polyclonal Antibody. Unconjugated. Raised in: Rabbit.
FormulationBuffer: PBS with 0.02% sodium azide, 50% glycerol, pH7.3.
SpecificityHuman, Mouse, Rat
IsotypeIgG
Uniprot IDP30301
PurificationAffinity Purification
ImmunogenA synthetic peptide corresponding to a sequence within amino acids 50-150 of human MIP (NP_036196.1).
StorageShipped at 4°C. Upon receipt, store at -20°C. Avoid freeze / thaw cycles
Alternative NamesMIP; AQP0; CTRCT15; LIM1; MIP26; MP26; lens fiber major intrinsic protein
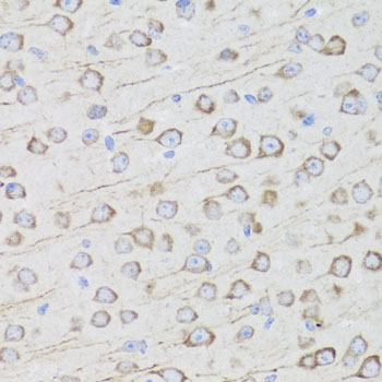
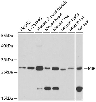
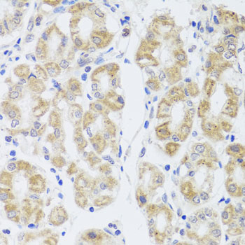
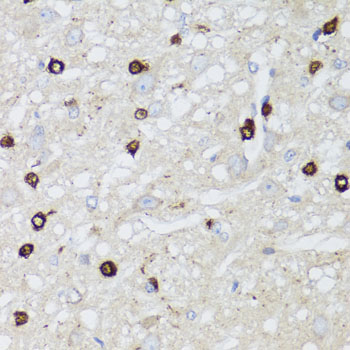
ApplicationWB, IHC; Recommended dilution: WB 1:500 - 1:1000, IHC 1:100 - 1:200