BackgroundThe protein encoded by this gene is localized in the endoplasmic reticulum (ER) and golgi, and is also secreted. Reducing expression of this gene increases susceptibility to ER stress-induced death and results in cell proliferation. Activity of this protein is important in promoting the survival of dopaminergic neurons. The presence of polymorphisms in the N-terminal arginine-rich region, including a specific mutation that changes an ATG start codon to AGG, have been reported in a variety of solid tumors; however, these polymorphisms were later shown to exist in normal tissues and are thus no longer thought to be tumor-related.
DescriptionMANF Polyclonal Antibody. Unconjugated. Raised in: Rabbit.
FormulationBuffer: PBS with 0.02% sodium azide, 50% glycerol, pH7.3.
SpecificityHuman, Mouse, Rat
IsotypeIgG
Uniprot IDP55145
PurificationAffinity Purified
ImmunogenRecombinant fusion protein containing a sequence corresponding to amino acids 25-182 of human MANF (NP_006001.4).
StorageShipped at 4°C. Store at -20℃. Avoid freeze / thaw cycles.
Alternative NamesMANF; ARMET; ARP
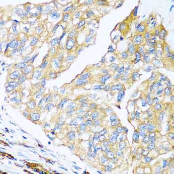
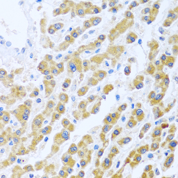
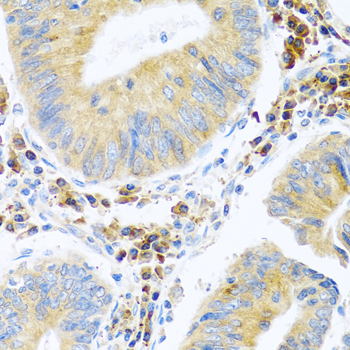
ApplicationWB, IHC; Recommended dilution: WB 1:500 - 1:2000, IHC 1:50 - 1:200