BackgroundComponent of the spindle-assembly checkpoint that prevents the onset of anaphase until all chromosomes are properly aligned at the metaphase plate. Required for the execution of the mitotic checkpoint which monitors the process of kinetochore-spindle attachment and inhibits the activity of the anaphase promoting complex by sequestering CDC20 until all chromosomes are aligned at the metaphase plate.
DescriptionMAD2L1 Polyclonal Antibody. Unconjugated. Raised in: Rabbit.
Formulation0.03% Proclin 300, 50% Glycerol, 0.01M PBS, PH 7.4
SpecificityHuman
IsotypeIgG
Uniprot IDQ13257
PurificationProtein G purified
ImmunogenRecombinant Human Mitotic spindle assembly checkpoint protein MAD2A protein (2-205AA)
StorageShipped at 4°C. Upon delivery aliquot and store at -20°C (short-term) or -80°C (long-term). Avoid repeated freeze.
Alternative NamesHsMAD2, Mitotic arrest deficient 2-like protein 1, MAD2-like protein 1, MAD2, MAD2L1
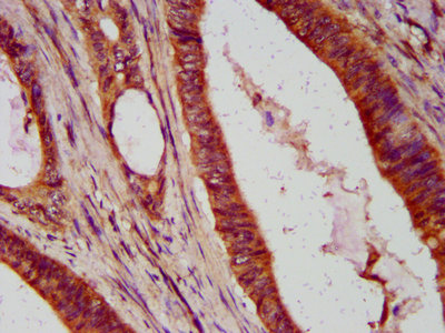
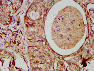
ApplicationELISA, IHC; Recommended dilution: IHC:1:200-1:500