DescriptionKHDRBS2 Polyclonal Antibody. Unconjugated. Raised in: Rabbit.
FormulationBuffer: PBS with 0.02% sodium azide, 50% glycerol, pH7.3.
SpecificityHuman, Mouse
IsotypeIgG
Uniprot IDQ5VWX1
PurificationAffinity Purification
ImmunogenA synthetic peptide corresponding to a sequence within amino acids 200 to the C-terminus of human KHDRBS2 (NP_689901.2).
StorageShipped at 4°C. Upon receipt, store at -20°C. Avoid freeze / thaw cycles
Alternative NamesKHDRBS2; SLM-1; SLM1; KH RNA binding domain containing, signal transduction associated 2
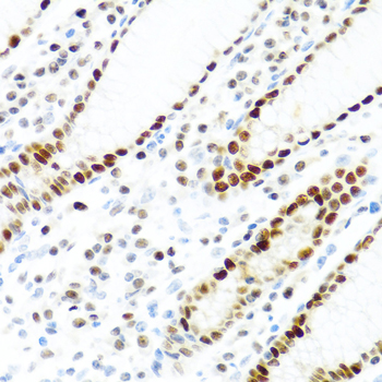
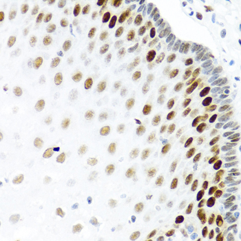
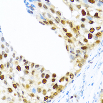
ApplicationWB, IHC; Recommended dilution: WB: 1:500-1:1000, IHC: 1:100-1:200