BackgroundHeat shock factor protein 1 (HSF1) plays an important role in inducing heat shock proteins which are produced by cells in response to exposure to stressful conditions, such as heat shock. Upon exposure to stress, HSF1 localizes rapidly to the discrete nuclear granules. Upon recovery from stress, HSF1 quickly dissipates from the stress granules to a dispersed nucleoplasmic distribution. HSF1 is involved in spermatogenesis, oogenesis, and placental development.
DescriptionHSF1 Polyclonal Antibody. Unconjugated. Raised in: Rabbit.
FormulationBuffer: PBS with 0.02% sodium azide, 50% glycerol, pH7.3.
SpecificityHuman, Mouse, Rat
IsotypeIgG
Uniprot IDQ00613
PurificationAffinity Purification
ImmunogenRecombinant fusion protein containing a sequence corresponding to amino acids 350-529 of human HSF1 (NP_005517.1).
StorageShipped at 4°C. Upon receipt, store at -20°C. Avoid freeze / thaw cycles
Alternative NamesHSTF1, Heat shock factor protein 1
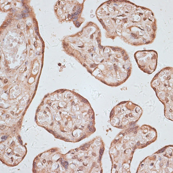
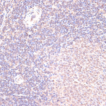
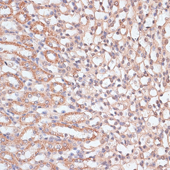
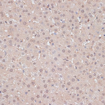
ApplicationWB, IHC, IF; Recommended dilution: WB: 1:500-1:2000, IHC: 1:50-1:100, IF:1:50-1:100