BackgroundThis gene encodes a member of the hepatoma-derived growth factor family. The encoded protein has mitogenic and DNA-binding activity and may play a role in cellular proliferation and differentiation. High levels of expression of this gene enhance the growth of many tumors. This gene was thought initially to be located on chromosome X; however, that location has been determined to correspond to a related pseudogene. Alternatively spliced transcript variants encoding distinct isoforms have been described.
DescriptionHDGF Polyclonal Antibody. Unconjugated. Raised in: Rabbit.
FormulationBuffer: PBS with 0.02% sodium azide, 50% glycerol, pH7.3.
SpecificityHuman, Mouse, Rat
IsotypeIgG
Uniprot IDP51858
PurificationAffinity Purification
ImmunogenRecombinant fusion protein containing a sequence corresponding to amino acids 1-240 of human HDGF (NP_004485.1).
StorageShipped at 4°C. Upon receipt, store at -20°C. Avoid freeze / thaw cycles
Alternative NamesHDGF; HMG1L2; heparin binding growth factor
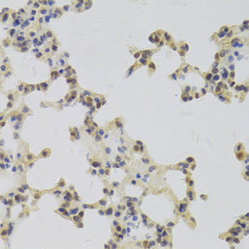
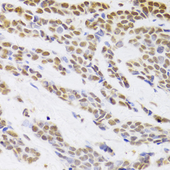
ApplicationWB, IHC, IF; Recommended dilution: WB 1:500 - 1:2000, IHC 1:50 - 1:200, IF 1:50 - 1:200