BackgroundHistidine ammonia-lyase is a cytosolic enzyme catalyzing the first reaction in histidine catabolism, the nonoxidative deamination of L-histidine to trans-urocanic acid. Histidine ammonia-lyase defects cause histidinemia which is characterized by increased histidine and histamine and decreased urocanic acid in body fluids. Several transcript variants encoding different isoforms have been found for this gene.
DescriptionHAL Polyclonal Antibody. Unconjugated. Raised in: Rabbit.
FormulationBuffer: PBS with 0.02% sodium azide, 50% glycerol, pH7.3.
SpecificityHuman, Mouse, Rat
IsotypeIgG
Uniprot IDP42357
PurificationAffinity Purification
ImmunogenRecombinant fusion protein containing a sequence corresponding to amino acids 1-200 of human HAL (NP_002099.1).
StorageShipped at 4°C. Upon receipt, store at -20°C. Avoid freeze / thaw cycles
Alternative NamesHAL; HIS; HSTD; histidine ammonia-lyase
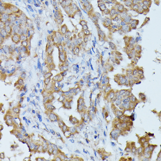
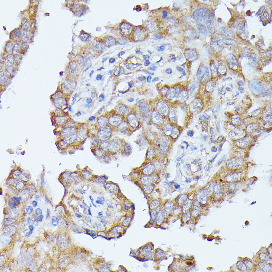
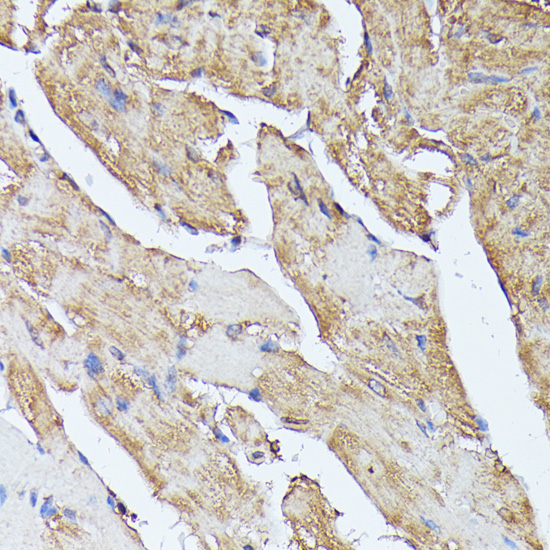
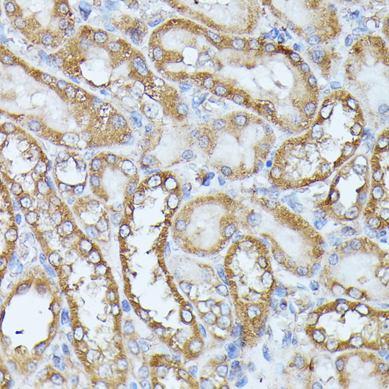
ApplicationWB, IHC, IF; Recommended dilution: WB 1:500 - 1:2000, IHC 1:50 - 1:100, IF 1:50 - 1:100