BackgroundThis gene encodes a member of the bombesin-like family of gastrin-releasing peptides. The encoded preproprotein is proteolytically processed to generate two peptides, gastrin-releasing peptide and neuromedin-C. These peptides regulate numerous functions of the gastrointestinal and central nervous systems, including release of gastrointestinal hormones, smooth muscle cell contraction, and epithelial cell proliferation. These peptides are also likely to play a role in human cancers of the lung, colon, stomach, pancreas, breast, and prostate. Alternative splicing results in multiple transcript variants, at least one of which encodes a preproprotein that is proteolytically processed.
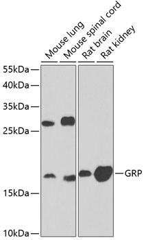
DescriptionGRP Polyclonal Antibody. Unconjugated. Raised in: Rabbit.
FormulationBuffer: PBS with 0.02% sodium azide, 50% glycerol, pH7.3.
SpecificityHuman, Mouse, Rat
IsotypeIgG
Uniprot IDP07492
PurificationAffinity Purification
ImmunogenRecombinant fusion protein containing a sequence corresponding to amino acids 1-148 of human GRP (NP_002082.2).
StorageShipped at 4°C. Upon receipt, store at -20°C. Avoid freeze / thaw cycles
Alternative NamesGRP; BN; GRP-10; preproGRP; proGRP; gastrin-releasing peptide
ApplicationWB, IHC, IF