Backgroundextracellular exosome, lysosomal lumen, lysosomal membrane, glucosylceramidase activity, receptor binding, cellular response to tumor necrosis factor, ceramide biosynthetic process, glucosylceramide catabolic process, glycosphingolipid metabolic process, negative regulation of inflammatory response
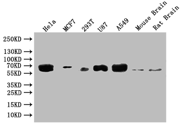
DescriptionGBA Recombinant Monoclonal Antibody [4H4]. Unconjugated. Raised in: HEK293F Cell.
FormulationBuffer: Rabbit IgG in phosphate buffered saline, pH 7.4, 150mM NaCl, 0.02% sodium azide and 50% glycerol.
SpecificityHuman
IsotypeRabbit IgG
Uniprot IDP04062
PurificationAffinity Chromatography
ImmunogenA synthesized peptide derived from human GBA
StorageUpon receipt, store at -20°C or -80°C. Avoid repeated freeze.
Alternative NamesGlucosylceramidase (EC 3.2.1.45) (Acid beta-glucosidase) (Alglucerase) (Beta-glucocerebrosidase) (Beta-GC) (D-glucosyl-N-acylsphingosine glucohydrolase) (Imiglucerase), GBA, GC GLUC
ApplicationELISA, WB; Recommended dilution: WB:1:500-1:5000