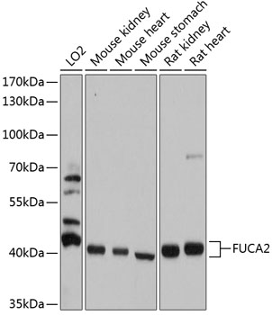
BackgroundThis gene encodes a plasma alpha-L-fucosidase, which represents 10-20% of the total cellular fucosidase activity. The protein is a member of the glycosyl hydrolase 29 family, and catalyzes the hydrolysis of the alpha-1,6-linked fucose joined to the reducing-end N-acetylglucosamine of the carbohydrate moieties of glycoproteins. This enzyme is essential for Helicobacter pylori adhesion to human gastric cancer cells.
DescriptionFUCA2 Polyclonal Antibody. Unconjugated. Raised in: Rabbit.
FormulationBuffer: PBS with 0.02% sodium azide, 50% glycerol, pH7.3.
SpecificityHuman, Mouse, Rat
IsotypeIgG
Uniprot IDQ9BTY2
PurificationAffinity Purification
ImmunogenRecombinant fusion protein containing a sequence corresponding to amino acids 118-467 of human FUCA2 (NP_114409.2).
StorageShipped at 4°C. Upon receipt, store at -20°C. Avoid freeze / thaw cycles
Alternative NamesFUCA2; dJ20N2.5; plasma alpha-L-fucosidase
ApplicationWB, IHC