BackgroundThis gene encodes a member of the Argonaute family of proteins which play a role in RNA interference. The encoded protein is highly basic, and contains a PAZ domain and a PIWI domain. It may interact with dicer1 and play a role in short-interfering-RNA-mediated gene silencing. Multiple transcript variants encoding different isoforms have been found for this gene.
DescriptionEIF2C2 Polyclonal Antibody. Unconjugated. Raised in: Rabbit.
FormulationBuffer: PBS with 0.02% sodium azide, 50% glycerol, pH7.3.
SpecificityHuman, Mouse, Rat
IsotypeIgG
Uniprot IDQ9UKV8
PurificationAffinity Purification
ImmunogenA synthetic peptide corresponding to a sequence within amino acids 1-100 of human EIF2C2 (NP_036286.2).
StorageShipped at 4°C. Upon receipt, store at -20°C. Avoid freeze / thaw cycles
Alternative NamesAGO2; CASC7; EIF2C2; LINC00980; PPD; Q10; protein argonaute-2
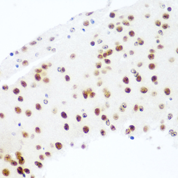
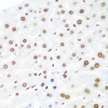
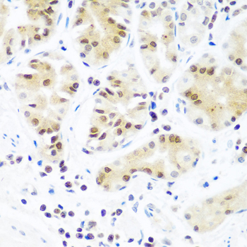
ApplicationWB, IHC; Recommended dilution: WB 1:500 - 1:1000, IHC 1:50 - 1:200