BackgroundThis gene encodes a member of the DEAD box family of RNA-dependent ATPases that mediate ATP hydrolysis during pre-mRNA splicing. The encoded protein is an essential splicing factor required for association of U2 small nuclear ribonucleoprotein with pre-mRNA, and it also plays an important role in mRNA export from the nucleus to the cytoplasm. This gene belongs to a cluster of genes localized in the vicinity of the genes encoding tumor necrosis factor alpha and tumor necrosis factor beta. These genes are all within the human major histocompatibility complex class III region. Mutations in this gene may be associated with rheumatoid arthritis. Alternative splicing results in multiple transcript variants. Related pseudogenes have been identified on both chromosomes 6 and 11. Read-through transcription also occurs between this gene and the upstream ATP6V1G2 (ATPase, H+ transporting, lysosomal 13kDa, V1 subunit G2) gene.
DescriptionDDX39B Polyclonal Antibody. Unconjugated. Raised in: Rabbit.
FormulationBuffer: PBS with 0.02% sodium azide, 50% glycerol, pH7.3.
SpecificityHuman, Mouse, Rat
IsotypeIgG
Uniprot IDQ13838
PurificationAffinity Purification
ImmunogenRecombinant fusion protein containing a sequence corresponding to amino acids 319-428 of human UAP56/UAP56/DDX39B (NP_004631.1)
StorageShipped at 4°C. Upon receipt, store at -20°C. Avoid freeze / thaw cycles
Alternative NamesDDX39B; BAT1; D6S81E; UAP56; DExD-box helicase 39B
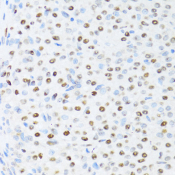
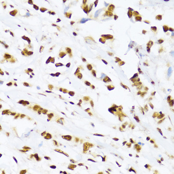
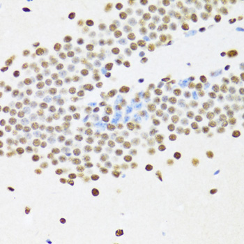
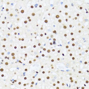
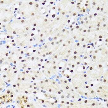
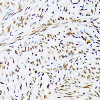
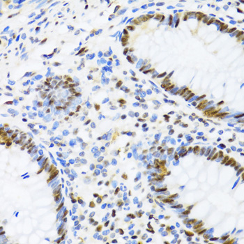
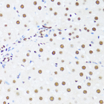
ApplicationWB, IHC, IF; Recommended dilution: WB 1:500 - 1:2000, IHC 1:100 - 1:200, IF 1:50 - 1:200