BackgroundCytochrome c oxidase (COX), the terminal enzyme of the mitochondrial respiratory chain, catalyzes the electron transfer from reduced cytochrome c to oxygen. It is a heteromeric complex consisting of 3 catalytic subunits encoded by mitochondrial genes and multiple structural subunits encoded by nuclear genes. The mitochondrially-encoded subunits function in electron transfer, and the nuclear-encoded subunits may be involved in the regulation and assembly of the complex. This nuclear gene encodes subunit VIb. Mutations in this gene are associated with severe infantile encephalomyopathy. Three pseudogenes COX6BP-1, COX6BP-2 and COX6BP-3 have been found on chromosomes 7, 17 and 22q13.1-13.2, respectively.
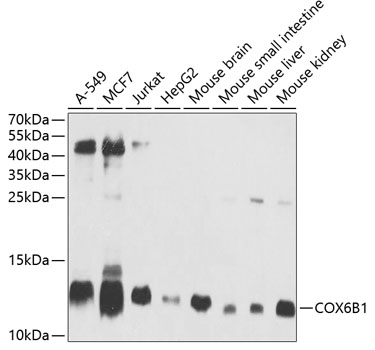
DescriptionCOX6B1 Polyclonal Antibody. Unconjugated. Raised in: Rabbit.
FormulationBuffer: PBS with 0.02% sodium azide, 50% glycerol, pH7.3.
SpecificityHuman, Mouse
IsotypeIgG
Uniprot IDP14854
PurificationAffinity Purified
ImmunogenRecombinant fusion protein containing a sequence corresponding to amino acids 1-86 of human COX6B1 (NP_001854.1).
StorageShipped at 4°C. Upon receipt, store at -20°C. Avoid freeze / thaw cycles
Alternative NamesCOX6B1; COX6B; COXG; COXVIb1; cytochrome c oxidase subunit 6B1
ApplicationWB