BackgroundThis gene encodes one of the six subunits of type IV collagen, the major structural component of basement membranes. The C-terminal portion of the protein, known as canstatin, is an inhibitor of angiogenesis and tumor growth. Like the other members of the type IV collagen gene family, this gene is organized in a head-to-head conformation with another type IV collagen gene so that each gene pair shares a common promoter.
DescriptionCOL4A2 Polyclonal Antibody. Unconjugated. Raised in: Rabbit.
FormulationBuffer: PBS with 0.02% sodium azide, 50% glycerol, pH7.3.
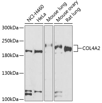
SpecificityHuman, Mouse, Rat
IsotypeIgG
Uniprot IDP08572
PurificationAffinity Purification
ImmunogenRecombinant fusion protein containing a sequence corresponding to amino acids 1486-1712 of human COL4A2 (NP_001837.2).
StorageShipped at 4°C. Upon receipt, store at -20°C. Avoid freeze / thaw cycles
Alternative NamesCOL4A2; ICH; POREN2; collagen alpha-2(IV) chain
ApplicationWB; Recommended dilution: WB 1:500 - 1:2000