BackgroundThis gene encodes a cell surface glycoprotein that regulates complement-mediated cell lysis, and it is involved in lymphocyte signal transduction. This protein is a potent inhibitor of the complement membrane attack complex, whereby it binds complement C8 and/or C9 during the assembly of this complex, thereby inhibiting the incorporation of multiple copies of C9 into the complex, which is necessary for osmolytic pore formation. This protein also plays a role in signal transduction pathways in the activation of T cells. Mutations in this gene cause CD59 deficiency, a disease resulting in hemolytic anemia and thrombosis, and which causes cerebral infarction. Multiple alternatively spliced transcript variants, which encode the same protein, have been identified for this gene.
DescriptionCD59 Polyclonal Antibody. Unconjugated. Raised in: Rabbit.
FormulationBuffer: PBS with 0.02% sodium azide, 50% glycerol, pH7.3.
SpecificityHuman, Mouse, Rat
IsotypeIgG
Uniprot IDP13987
PurificationAffinity Purification
ImmunogenRecombinant fusion protein containing a sequence corresponding to amino acids 26-128 of human CD59 (NP_001120695.1)
StorageShipped at 4°C. Upon receipt, store at -20°C. Avoid freeze / thaw cycles
Alternative NamesCD59; 16.3A5; 1F5; EJ16; EJ30; EL32; G344; HRF-20; HRF20; MAC-IP; MACIF; MEM43; MIC11; MIN1; MIN2; MIN3; MIRL; MSK21; p18-20; CD59 glycoprotein
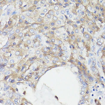
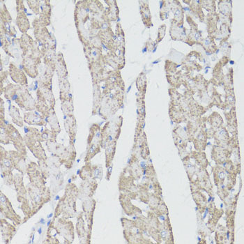
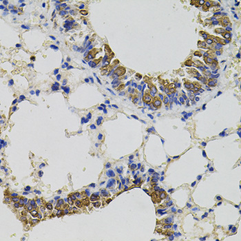
ApplicationWB, IHC; Recommended dilution: WB 1:500 - 1:2000, IHC 1:50 - 1:200