BackgroundComponent of a Polycomb group (PcG) multiprotein PRC1-like complex, a complex class required to maintain the transcriptionally repressive state of many genes, including Hox genes, throughout development. PcG PRC1 complex acts via chromatin remodeling and modification of histones; it mediates monoubiquitination of histone H2A 'Lys-119', rendering chromatin heritably changed in its expressibility. Binds to histone H3 trimethylated at 'Lys-9' (H3K9me3) or at 'Lys-27' (H3K27me3) (By similarity). Plays a role in the lineage differentiation of the germ layers in embryonic development (By similarity). Involved in sexual development, acting as activator of NR5A1 expression.
DescriptionCBX2 Recombinant Monoclonal Antibody [24A2]. Unconjugated. Raised in: HEK293F Cell.
FormulationBuffer: Rabbit IgG in phosphate buffered saline, pH 7.4, 150mM NaCl, 0.02% sodium azide and 50% glycerol.
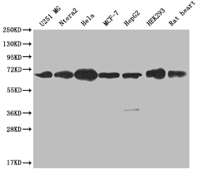
SpecificityHuman, Rat
IsotypeRabbit IgG
Uniprot IDQ14781
PurificationAffinity Chromatography
ImmunogenA synthesized peptide derived from human CBX2
StorageUpon receipt, store at -20°C or -80°C. Avoid repeated freeze.
Alternative NamesChromobox protein homolog 2, CBX2
ApplicationELISA, WB; Recommended dilution: WB:1:500-1:2000