BackgroundThis gene encodes a member of the bromodomain protein family. The bromodomain is a structural motif characteristic of proteins involved in chromatin-dependent regulation of transcription. This gene is deleted in Williams-Beuren syndrome, a developmental disorder caused by deletion of multiple genes at 7q11.23.
DescriptionBAZ1B Polyclonal Antibody. Unconjugated. Raised in: Rabbit.
FormulationBuffer: PBS with 0.02% sodium azide, 50% glycerol, pH7.3.
SpecificityHuman, Mouse, Rat
IsotypeIgG
Uniprot IDQ9UIG0
PurificationAffinity Purified
ImmunogenRecombinant fusion protein containing a sequence corresponding to amino acids 1-260 of human BAZ1B (NP_115784.1)
StorageShipped at 4°C. Store at -20°C. Avoid freeze / thaw cycles.
Alternative NamesBAZ1B; WBSCR10; WBSCR9; WSTF
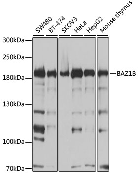
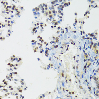
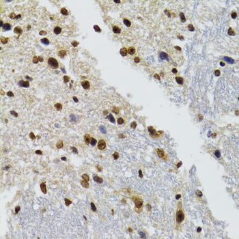
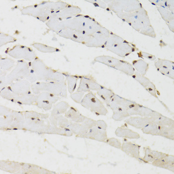
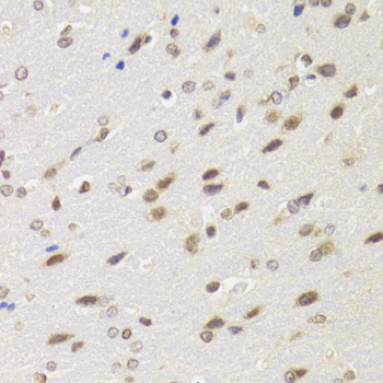
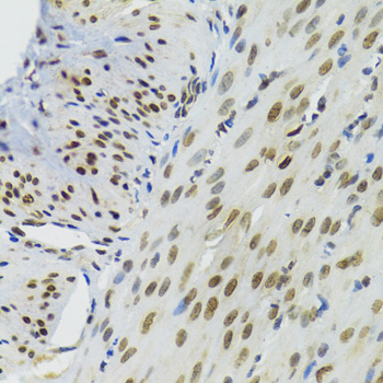
ApplicationWB, IHC; Recommended dilution: WB 1:500 - 1:2000, IHC 1:50 - 1:200