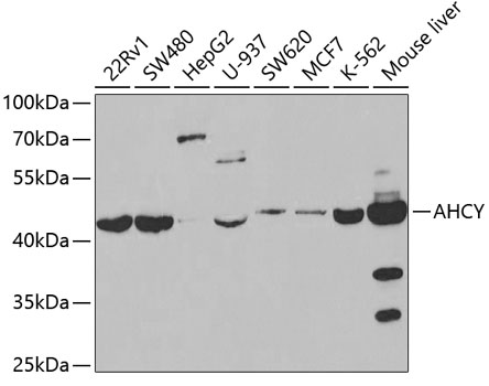
BackgroundS-adenosylhomocysteine hydrolase belongs to the adenosylhomocysteinase family. It catalyzes the reversible hydrolysis of S-adenosylhomocysteine (AdoHcy) to adenosine (Ado) and L-homocysteine (Hcy). Thus, it regulates the intracellular S-adenosylhomocysteine (SAH) concentration thought to be important for transmethylation reactions. Deficiency in this protein is one of the different causes of hypermethioninemia. Alternatively spliced transcript variants encoding different isoforms have been found for this gene.
DescriptionAHCY Polyclonal Antibody. Unconjugated. Raised in: Rabbit.
FormulationBuffer: PBS with 0.02% sodium azide, 50% glycerol, pH7.3.
SpecificityHuman, Mouse, Rat
IsotypeIgG
Uniprot IDP23526
PurificationAffinity Purified
ImmunogenRecombinant fusion protein containing a sequence corresponding to amino acids 171-431 of human AHCY (NP_000678.1)
StorageShipped at 4°C. Upon receipt, store at -20°C. Avoid freeze / thaw cycles
Alternative NamesAHCY; SAHH; adoHcyase; adenosylhomocysteinase
ApplicationWB; Recommended dilution: WB 1:500 - 1:2000