BackgroundThis gene encodes a protein which participates in protein translation in mitochondria. Mutations in this gene have been associated with combined oxidative phosphorylation deficiency resulting in lactic acidosis and fatal encephalopathy. A pseudogene has been identified on chromosome 17.
DescriptionTUFM Polyclonal Antibody. Unconjugated. Raised in: Rabbit.
FormulationBuffer: PBS with 0.02% sodium azide, 50% glycerol, pH7.3.
SpecificityHuman, Mouse, Rat
IsotypeIgG
Uniprot IDP49411
PurificationAffinity Purification
ImmunogenRecombinant fusion protein containing a sequence corresponding to amino acids 186-455 of human TUFM (NP_003312.3).
StorageShipped at 4°C. Upon receipt, store at -20°C. Avoid freeze / thaw cycles
Alternative NamesTUFM; COXPD4; EF-TuMT; EFTU; P43; elongation factor Tu, mitochondrial
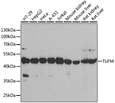
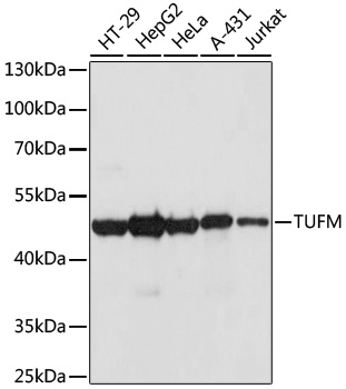
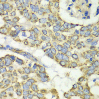
ApplicationWB, IHC, IF, IP; Recommended dilution: WB 1:500 - 1:2000, IHC 1:50 - 1:200, IF 1:10 - 1:100, IP 1:50 - 1:200