BackgroundInvolved in the maintenance of mitochondrial membrane potential in pancreatic ductal adenocarcinoma (PDAC) cells. Promotes pancreatic ductal adenocarcinoma (PDAC) cell growth. May play a role as a nucleotide-sugar transporter.
DescriptionSLC35F6 Polyclonal Antibody. Unconjugated. Raised in: Rabbit.
FormulationLiquid. 0.03% Proclin 300, 50% Glycerol, 0.01M PBS, PH 7.4.
SpecificityHuman
IsotypeIgG
Uniprot IDQ8N357
Purification>95%, Protein G purified
ImmunogenRecombinant Human Solute carrier family 35 member F6 protein (337-371AA)
StorageShipped at 4°C. Upon delivery aliquot and store at -20°C (short-term) or -80°C (long-term). Avoid repeated freeze.
Alternative NamesSolute carrier family 35 member F6, SLC35F6, C2orf18, UNQ3047/PRO9863, ANT2-binding protein, ANT2BP, Transport and Golgi organization 9 homolog
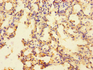
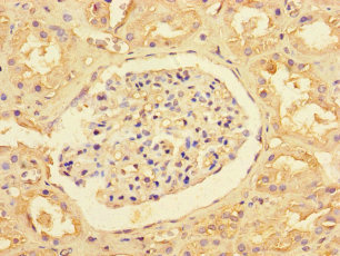
ApplicationELISA, IHC, IF; Recommended dilution: IHC:1:20-1:200, IF:1:50-1:200