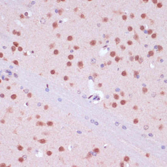
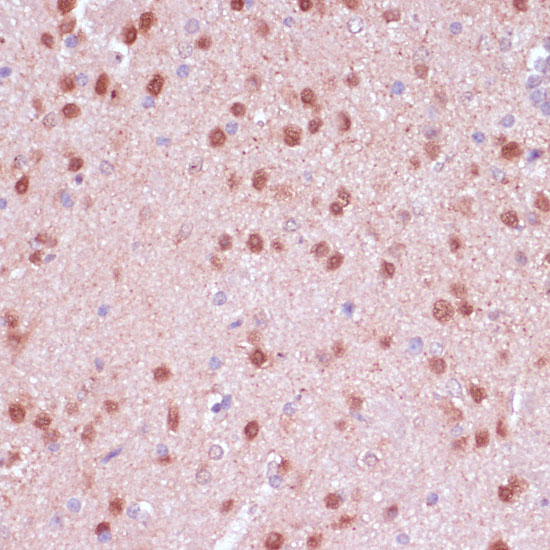
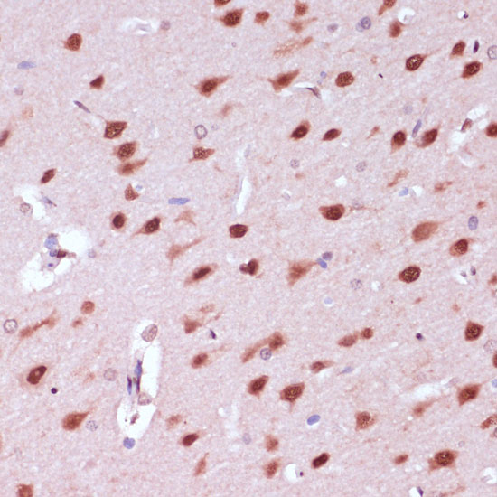
BackgroundThis gene encodes a member of the RNA-binding FOX protein family which is involved in the regulation of alternative splicing of pre-mRNA. The protein has an N-terminal proline-rich region, an RNA recognition motif (RRM) domain, and a C-terminal alanine-rich region. This gene produces the neuronal nuclei (NeuN) antigen that has been widely used as a marker for post-mitotic neurons. This gene has its highest expression in the central nervous system and plays a prominent role in neural tissue development and regulation of adult brain function. Mutations in this gene have been associated with numerous neurological disorders. Alternative splicing of this gene results in multiple transcript variants encoding distinct isoforms.
DescriptionRBFOX3 Polyclonal Antibody. Unconjugated. Raised in: Rabbit.
FormulationBuffer: PBS with 0.02% sodium azide, 50% glycerol, pH7.3.
SpecificityHuman, Mouse, Rat
IsotypeIgG
Uniprot IDA6NFN3
PurificationAffinity Purified
ImmunogenRecombinant fusion protein containing a sequence corresponding to amino acids 1-220 of human RBFOX3 (NP_001076045.1)
StorageShipped at 4°C. Upon receipt, store at -20°C. Avoid freeze / thaw cycles
Alternative NamesRBFOX3; FOX-3; FOX3; HRNBP3; NEUN; RNA binding protein fox-1 homolog 3
ApplicationWB, IHC