DescriptionPIP Polyclonal Antibody. Unconjugated. Raised in: Rabbit.
FormulationBuffer: PBS with 0.02% sodium azide, 50% glycerol, pH7.3.
SpecificityHuman, Mouse, Rat
IsotypeIgG
Uniprot IDP12273
PurificationAffinity Purification
ImmunogenRecombinant fusion protein containing a sequence corresponding to amino acids 29-146 of human PIP (NP_002643.1).
StorageShipped at 4°C. Upon receipt, store at -20°C. Avoid freeze / thaw cycles
Alternative NamesPIP; GCDFP-15; GCDFP15; GPIP4; prolactin induced protein
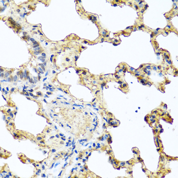
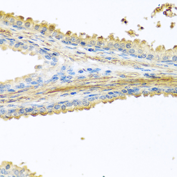
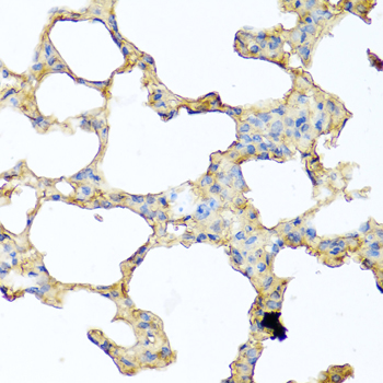
ApplicationELISA, IHC, IF; Recommended dilution: IHC 1:50 - 1:100, IF 1:50 - 1:100