BackgroundThis gene encodes a conventional non-muscle myosin; this protein should not be confused with the unconventional myosin-9a or 9b (MYO9A or MYO9B). The encoded protein is a myosin IIA heavy chain that contains an IQ domain and a myosin head-like domain which is involved in several important functions, including cytokinesis, cell motility and maintenance of cell shape. Defects in this gene have been associated with non-syndromic sensorineural deafness autosomal dominant type 17, Epstein syndrome, Alport syndrome with macrothrombocytopenia, Sebastian syndrome, Fechtner syndrome and macrothrombocytopenia with progressive sensorineural deafness.
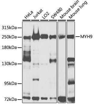
DescriptionMYH9 Polyclonal Antibody. Unconjugated. Raised in: Rabbit.
FormulationBuffer: PBS with 0.02% sodium azide, 50% glycerol, pH7.3.
SpecificityHuman, Mouse, Rat
IsotypeIgG
Uniprot IDP35579
PurificationAffinity Purification
ImmunogenRecombinant fusion protein containing a sequence corresponding to amino acids 1711-1960 of human MYH9 (NP_002464.1).
StorageShipped at 4°C. Upon receipt, store at -20°C. Avoid freeze / thaw cycles
Alternative NamesMYH9; BDPLT6; DFNA17; EPSTS; FTNS; MHA; NMHC-II-A; NMMHC-IIA; NMMHCA; myosin-9
ApplicationWB, IHC, IF