BackgroundMetallothioneins have a high content of cysteine residues that bind various heavy metals; these proteins are transcriptionally regulated by both heavy metals and glucocorticoids.
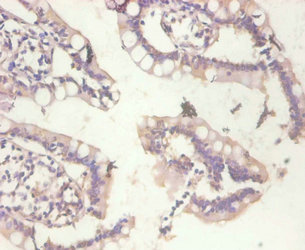
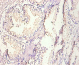
DescriptionMT1A Polyclonal Antibody. Unconjugated. Raised in: Rabbit.
FormulationLiquid. 0.03% Proclin 300, 50% Glycerol, 0.01M PBS, PH 7.4.
SpecificityHuman
IsotypeIgG
Uniprot IDP04731
Purification>95%, Protein G purified
ImmunogenRecombinant Human Metallothionein-1A protein (1-59AA)
StorageShipped at 4°C. Upon delivery aliquot and store at -20°C (short-term) or -80°C (long-term). Avoid repeated freeze.
Alternative NamesMetallothionein-IA, MT1A, MT1S
ApplicationELISA, IHC; Recommended dilution: IHC:1:20-1:200