BackgroundInvolved in the cellular defense against the biological effects of O6-methylguanine (O6-MeG) in DNA. Repairs alkylated guanine in DNA by stoichiometrically transferring the alkyl group at the O-6 position to a cysteine residue in the enzyme. This is a suicide reaction: the enzyme is irreversibly inactivated.
DescriptionMGMT Polyclonal Antibody. Unconjugated. Raised in: Rabbit.
Formulation0.03% Proclin 300, 50% Glycerol, 0.01M PBS, PH 7.4
SpecificityHuman
IsotypeIgG
Uniprot IDP16455
PurificationProtein G purified
ImmunogenRecombinant Human Methylated-DNA--protein-cysteine methyltransferase protein (4-207AA)
StorageShipped at 4°C. Upon delivery aliquot and store at -20°C (short-term) or -80°C (long-term). Avoid repeated freeze.
Alternative NamesMGMT
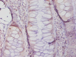
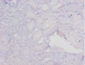
ApplicationELISA, IHC; Recommended dilution: IHC:1:10-1:100