BackgroundCatalyzes the oxidative deamination of biogenic and xenobiotic amines and has important functions in the metabolism of neuroactive and vasoactive amines in the central nervous system and peripheral tissues. MAOA preferentially oxidizes biogenic amines such as 5-hydroxytryptamine (5-HT), norepinephrine and epinephrine.
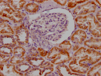
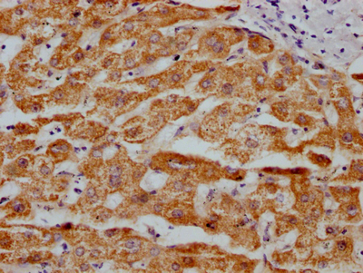
DescriptionMAOA Recombinant Monoclonal Antibody [4C11]. Unconjugated. Raised in: HEK293F Cell.
FormulationBuffer: Rabbit IgG in phosphate buffered saline, pH 7.4, 150mM NaCl, 0.02% sodium azide and 50% glycerol.
SpecificityHuman
IsotypeRabbit IgG
Uniprot IDP21397
PurificationAffinity Chromatography
ImmunogenA synthesized peptide derived from human Monoamine Oxidase A
StorageUpon receipt, store at -20°C or -80°C. Avoid repeated freeze.
Alternative NamesAmine oxidase [flavin-containing] A (EC 1.4.3.4) (Monoamine oxidase type A) (MAO-A), MAOA
ApplicationELISA, IHC, IF; Recommended dilution: IHC:1:50-1:200, IF:1:20-1:200