BackgroundThis gene is a member of the EPO/TPO family and encodes a secreted, glycosylated cytokine composed of four alpha helical bundles. The protein is found in the plasma and regulates red cell production by promoting erythroid differentiation and initiating hemoglobin synthesis. This protein also has neuroprotective activity against a variety of potential brain injuries and antiapoptotic functions in several tissue types.
DescriptionEPO Polyclonal Antibody. Unconjugated. Raised in: Rabbit.
FormulationBuffer: PBS with 0.05% proclin300, 50% glycerol, pH7.3.
SpecificityHuman, Mouse, Rat
IsotypeIgG
Uniprot IDP01588
PurificationAffinity Purified
ImmunogenA synthetic peptide corresponding to a sequence within amino acids 93-193 of human EPO (NP_000790.2).
StorageShipped at 4°C. Upon receipt, store at -20°C. Avoid freeze / thaw cycles
Alternative NamesEPO; EP; MVCD2; erythropoietin
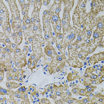
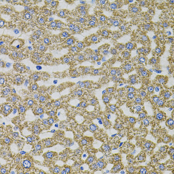
ApplicationWB, IHC, IF/ICC; Recommended dilution, WB 1:500 - 1:1000, IHC-P 1:100 - 1:200, IF/ICC 1:50 - 1:200